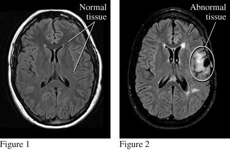
Seizure MRICourtesy of Intermountain Medical Imaging, Boise,
Idaho. All rights reserved. Top views of the brain show normal tissue (see figure 1) and
abnormal tissue (from an injury) that causes seizures (see figure 2). ByHealthwise Staff Primary Medical ReviewerJohn Pope, MD - Pediatrics Specialist Medical ReviewerSteven C. Schachter, MD - Neurology Current as ofOctober 14, 2016 Current as of:
October 14, 2016 Author:
Healthwise Staff Medical Review:
John Pope, MD - Pediatrics & Steven C. Schachter, MD - Neurology
|
|
|
|
|
|