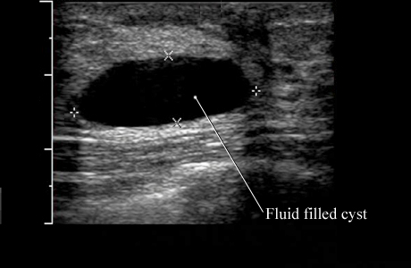
Ultrasound of a Simple Breast CystCourtesy
of Intermountain Medical Imaging, Boise, Idaho. This
ultrasound picture shows a simple cyst with normal breast tissue around it.
Because this type of cyst usually does not have any tissue or other particles
in it, your doctor knows that it is fluid-filled and can be drained if
necessary. ByHealthwise Staff Primary Medical ReviewerSarah Marshall, MD - Family Medicine Kathleen Romito, MD - Family Medicine Specialist Medical ReviewerLaura S. Dominici, MD - General Surgery, Current as of:
May 3, 2017 Author:
Healthwise Staff Medical Review:
Sarah Marshall, MD - Family Medicine & Kathleen Romito, MD - Family Medicine & Laura S. Dominici, MD - General Surgery,
|
|
|
|
|
|